Mon - Fri : 09:00 - 17:00 山东·青岛
手机答题

扫码关注公众号

App小程序

进入微信小程序

客服微信/QQ号

185-6187-7800

返回顶部
渔医考试
山东省青岛市 渔医 2026-3-31 12:19:32
封面图
病害对象 :
病害科普
病害原因:
细菌性
养殖地区 :
【中国国内】
相关链接 :
病害相关链接
商品购买 :
处理该病相关产品

马上注册,加入我们!做一名优秀的渔医!

您需要 登录 才可以下载或查看,没有账号?加入我们

x
低温期注意鲁氏耶尔森氏菌的防控

雷燕

       鲁氏耶尔森氏菌(Yersinia ruckeri)也被称为鲁克尔耶尔森氏菌,主要引起鲑鳟鱼类发生红嘴病。此病最早于1952年在美国发现,1966年分别由Rucker和Ross从发病的虹鳟分离到该病原菌,1978年,将该病原菌命名为鲁氏耶尔森氏菌。近年该菌导致草鱼在低温期发生溃烂病,导致大量死亡,下面本文对鲁氏耶尔森氏菌的培养特征、形态特征、流行情况和防控方法作简单介绍,以期为鲁氏耶尔森氏菌病的临床诊断和防控提供依据。


       一、鲁氏耶尔森氏菌的培养特征和形态特征

       鲁氏耶尔森氏菌在胰蛋白胨大豆琼脂培养皿(TSA)或脑心浸液琼脂培养皿(BHI)于20~25℃培养48小时,可形成圆形、隆起、边缘整齐、有光泽的乳白色菌落(见图1),直径可达2~3毫米,20℃比37℃培养的生长旺盛。该菌革兰氏染色呈阴性,为短杆状,两端钝圆,具有周鞭毛,大小为0.7~0.8μm×1.3~2.7μm(见图2)。

图1  鲁氏耶尔森氏菌在TSA上培养24小时的菌落特征

图2  鲁氏耶尔森氏菌的革兰氏染色结果

       二、鲁氏耶尔森氏菌的流行情况

       鲁氏耶尔森氏菌主要为冷水性鲑鳟鱼类的病原菌(主要引起虹鳟鱼的红嘴病),但目前该菌不仅遍及所有养殖的鲑鳟鱼类,且还波及到了其它鱼类。1991年,我国徐伯亥等报道了在鲢、鳙发生的一种暴发性流行病,该病流行面广,致死率高的特点;主要以体表发炎、充血为特征,内脏也伴有不同程度的发炎、充血;经从病鱼的肝、脾、肾组织进行细菌分离鉴定和人工感染实验,确定由鲁氏耶尔森氏菌感染所致。该报道表明了鲁氏耶尔森氏菌在鱼类的广泛致病作用。


2008年,汪开毓等从发病斑点叉尾鮰的肝脏和肾脏中分离出大量单一病原菌,对分离的病原菌进行鉴定和人工感染实验,确定发病斑点叉尾鮰由鲁氏耶尔森氏菌感染所致。


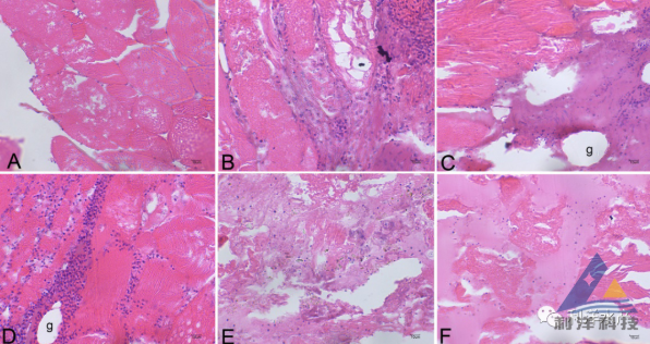
2019年开春后,我国湖北、湖南、江苏、四川等地草鱼养殖场出现了广泛的溃疡性疾病疫情,集中暴发于2019年2月中旬至3月中旬,不同地区的发病率和死亡率不同,受影响最大的地区死亡率为100%,发病率超过50%,发病时池塘水温在16℃左右。发病时草鱼聚集,浮出水面,游动无力,几天内死亡。病鱼头部和鳃盖周围出血,皮肤发生肌肉溃疡(见图3)。对发病鱼组织进行组织病理切片观察,组织发生以浸润、炎症、坏死为主要病理症状(见图4),脾脏、肌肉、肾脏是主要靶器官。

发病的草鱼体表溃烂

发病的草鱼体表溃烂

图3  发病的草鱼体表溃烂

病鱼的组织病理切片结果

病鱼的组织病理切片结果

图4  病鱼的组织病理切片结果

       三、鲁氏耶尔森氏菌的防控措施

       鲁氏耶尔森氏菌引起鱼类发病的温度主要为13~20℃。因此,在鲁氏耶尔森氏菌易感鱼类养殖过程中,尤其在低水温季节,要做好预防工作。该病是一种全身**染性疾病,因此在本病的防治上应内外同治,即内服敏感的抗菌药和外用消毒药消毒鱼体和水体。在养殖过程中定期投喂“LY-生命素”、“营养快线”等免疫增强剂提高鱼体自身抵抗力。发病时选用聚维酮碘等刺激性较小的消毒剂进行水体消毒;发病期间切忌盲目用药,应在药敏试验的基础上合理选择药物(见图5)。

鲁氏耶尔森氏菌药敏试验结果

鲁氏耶尔森氏菌药敏试验结果

图5  鲁氏耶尔森氏菌的药敏试验结果



(转自“利洋水产”微信平台)


回复

举报

热门问答 更多热门问答
您需要登录后才可以回帖 登录 | 加入我们

本版积分规则